종합진료 메디피움 | 건강증진센터, 뷰티클리닉, 덴탈클리닉

메뉴 건너뛰기

의료법인메디피아 MEDIPIUM 최첨단 의료장비와 최상의 의료 서비스로 고객감동을  실현하는 아름다운 복합의료공간

MEDIPIUM Dental Clinic

  • HOME
  • 진료과목
  • 치과

메디피움 치과는 건강한 치아, 아름다운 치아 관리에 집중하는 Health Dental Clinic입니다.

Beauty Dental Clinic

Smile Program '심미 + 건강' 위한 치아성형센터
돌출이, 덧니, 옥니, 왜소치, 틈이 있는 치아
- 손상되거나 비심미적인 앞니를 세라믹재료로 수복하는 Beauty Clinic 섬세한 성형치료로 인상까지 바꿔주는 성형치과 뷰티라인 메디피움
  1. Part 1. 최소삭제 라미네이트 - 첨단 캐드캠 장비구비로 치아삭제 최소화
  2. Part 2. 메디피움 뷰티센타 협진으로 얼굴선과 치아의 조화로움의 변화를 주는 美 시스템
  3. Part 3. 앞니 교정후 성형 - 교정과 협진으로 필요한 치아만 성형
  4. Part 4. 올세라믹 성형 - 돌출. 불규칙한 치아 자연스럽게 성형
  5. Part 5. 교정 - 치열이 고르지 못해 구강관리 어려움해결 / 단기교정 ,부분교정 등 환자맞춤형 시스템

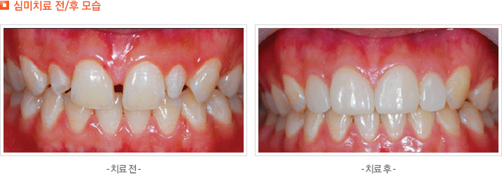
심미치료 전/후 모습

* 디지털 보철 제작 시스템 CAD/CAM Milling System 똑같은 치료도 재료제작 능력에 따라 치료기간 단축 및 높은 만족도, 치료 유지기간이 길어집니다. 디지털 보철 제작으로 한층 더 스마트한 고퀄리티 치료를 받으세요! 메디피움은 보철물의 디자인에서 공정까지 컴퓨터로 제작하여 우수한 강도 + 심미성 + 정확성이 뛰어납니다. 미국과 유럽에서는 이미 보편화된 보철치료법입니다.

* CAD/CAM을 이용한 보철 치료의 장점 기본 보철 제작 치아 본뜨기 보철 디자인 보형물 가공 vs 3D 캐드캠 보철치료  디지털 스캔 디지털 디자인 디지털 가공

치료시간 단축+치료과정 간편+특수 내구성+보철물재현도 99%

White Program (치아미백센터)
식약청 허가된 안전한 제품으로 직장인 남녀노소 필수치료 시스템
- 메디피움의 Professional Dental Whitening System 한차원 높은 의료서비를 제공합니다.  아름다운미소 가장 중요한 요소는 바르고 깨끗한 치아입니다.
  1. Part 1. 환자맞춤형 치아미백 프로그램구성
  2. Part 2. 빠르고 확실한 효과
  3. Part 3. 시린 증상 최소화
  4. Part 4. 철저한 사후관리

미백치료 전/후 모습

치아 미백치료란? 치아 표면의 색이 커피(착색음료), 흡연, 외상 등으로 변색된 경우에 치아 색을 원래의 색조로 회복시키거나 더 희게하는 치료법입니다. 알맞은 농도의 미백제와 특수광선을 사용하여 시린 증상과 잇몸 자극없이 보다 빠르고 안전하게 새하얀 치아로 만들어 드립니다.

* 맞춤형 치아 미백 프로그램  CAD/CAM Milling System * 디지털 보철 제작 시스템 CAD/CAM Milling System

* 안전한 미백 치료 오스템社 BeauTis 사용 - 식약청 허가를 받은 안전한 미백치료제 오스템社의 BeauTis를 사용하기 때문에 직장인 학생 남녀노소를 불문하고 안전하게 시술 받으실 수 있습니다.

치과전용 상담 및 예약 T. 031-724-1901~3

  • 병원소식
  • fecebook
  • blog
  • 찾아오시는 길 031)724-1901~3

상단으로 이동